The FDA never inspected Johns Dental Laboratories during more than a decade in which it made the Anterior Growth Guidance Appliance, or “AGGA,” a dental device that has allegedly harmed patients and is now the subject of a criminal investigation.
According to FDA documents obtained through the Freedom of Information Act, the agency “became aware” of the AGGA from a joint investigation by KFF Health News and CBS News in March 2023, then responded with its first-ever inspection of Johns Dental months later.
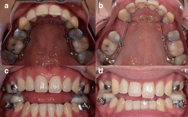
Samantha Liss/KFF Health News
That inspection found that the Indiana dental device manufacturer didn’t require all customer complaints to be investigated and the company did not investigate some complaints about people being hurt by products, including the AGGA, the FDA documents state. The FDA requires device companies to investigate complaints and forward them to the agency. Johns Dental had “never” alerted the FDA to any such complaints, according to the documents.
The AGGA, which its inventor testified has been used on more than 10,000 patients, was promoted by dentists nationwide, some of whom said it could “grow” or “expand” an adult’s jaw without surgery and treat common ailments like sleep apnea. But these claims were not backed by peer-reviewed research, and Johns Dental has settled lawsuits from 20 patients who alleged the AGGA caused them grievous harm. The company has not admitted liability.
Two former FDA officials said the AGGA was likely able to stay on the market — and off the FDA’s radar — for so long because of the lack of inspections and investigations at Johns Dental. Madris Kinard, a former FDA manager who founded Device Events, which analyzes FDA data, said it defies belief that Johns Dental never received a complaint worthy of relaying to the FDA.
“That’s a red flag for me. If I don’t see a single report to the FDA, I typically think there is something going on,” Kinard said. “When they don’t report, what you have is devices that stay on the market much longer than they should. And patients get harmed.”
Johns Dental Laboratories declined to comment when reached by phone and its lawyers did not respond to requests for an interview. The family-owned company, which has operated since 1939 in the western Indiana city of Terre Haute, sells dozens of products to dentists and makes hundreds of retainers and sleep apnea appliances each month, according to its website.
Twelve of Johns Dental’s products are registered with the FDA as Class II medical devices, meaning they carry at least a moderate risk, and some have been featured on the company website for at least two decades, according to screen captures preserved by the Internet Archive.
Brett Kelman/KHN
The AGGA, which was invented by Tennessee dentist Steve Galella in the 1990s, was not registered with the FDA like Johns Dental’s other devices. Company owner Jerry Neuenschwander has said in sworn court depositions that Johns Dental started making the AGGA in 2012 and became Galella’s exclusive manufacturer in 2015 and that at one point the AGGA was responsible for about one-sixth of Johns Dental’s total sales revenue.
In another deposition, Johns Dental CEO Lisa Bendixen said the company made about 3,000 to 4,000 AGGAs a year and paid Galella’s company a “royalty” of $50 to $65 for every sale.
“We are not dentists. We do not know how these appliances work. All we do is manufacture to Dr. Galella’s specifications,” she said, according to a deposition transcript.
The FDA’s lack of knowledge about the AGGA likely contributed to its loose oversight of Johns Dental. When asked to explain the lack of inspection, the FDA said that, based on what it knew at the time, it was not required to inspect Johns Dental until 2018 when the company registered as a “contract manufacturer” of other medical devices. Prior to 2018, the FDA was only aware of Johns Dental operating as a “dental laboratory,” which normally do not manufacture their own products and only modify devices made by other companies to fit dentists’ specifications. The FDA does not regularly inspect dental labs, although it can if it has concerns or gets complaints, the agency said.
Kinard said that based on her experience at the FDA she believes the agency prioritizes medical devices over dental devices, which may have contributed to the lack of inspections at Johns Dental.
“There hasn’t been much attention to dental devices in the past,” Kinard said. “Hopefully that’s going to change because of dental implant failures, as well as this device, which has quite obviously had serious issues.”
The AGGA resembles a retainer and uses springs to apply pressure to the front teeth and upper palate, according to a patent application. Last year, the KFF Health News-CBS News investigation revealed the AGGA was not backed by any peer-reviewed research and had never been submitted to the FDA for review. At the time, at least 20 patients had alleged in lawsuits that the AGGA had caused grievous harm to their teeth, gums, and bone — and some said they’d lost teeth. Multiple dental specialists said in interviews that they had examined AGGA patients whose teeth had been shoved out of position by the device, sometimes causing tens of thousands of dollars in damage.
Kasey Li
“The entire concept of this device, of this treatment, makes zero sense,” said Kasey Li, a maxillofacial surgeon who published research on AGGA patients that appeared on a National Institutes of Health website. “It doesn’t grow the jaw. It doesn’t widen the jaw. It just pushes the teeth out of their original position.
Johns Dental and Galella have negotiated out-of-court settlements with the original 20 AGGA plaintiffs without publicly admitting fault. At least 13 more AGGA patients have filed similar lawsuits since the KFF Health News-CBS News investigation. Johns Dental and Galella denied wrongdoing or have not yet responded to the allegations in the newer lawsuits.
Galella declined to be interviewed in 2023 and neither he nor his attorneys responded to recent requests for comment. One of his attorneys, Alan Fumuso, said in a 2023 statement that the AGGA “is safe and can achieve beneficial results” when used properly.
In the wake of the KFF Health News-CBS News report, Johns Dental abruptly stopped making the AGGA, according to the newly released FDA documents. The Department of Justice soon after opened a criminal investigation into the AGGA that was ongoing as of December, according to court filings. No charges have been filed. A DOJ spokesperson declined comment.
Spurred by the March 2023 news report, the FDA inspected Johns Dental in July. The FDA’s website shows that Johns Dental was issued seven citations, but the substance of the agency’s findings was not known until the inspection report was obtained this year.
FDA investigator David Gasparovich wrote in that report that he arrived unannounced at Johns Dental last July and was met by five attorneys who instructed employees not to answer any questions about the AGGA or the company’s complaint policies. Neuenschwander was told by his attorney not to talk to the inspector, the report states.
“He asked if he could photograph my credentials,” Gasparovich wrote in his report. “This was the last conversation I would have with Mr. Neuenschwander at the request of his attorney.”
The FDA requires device companies to investigate product complaints and submit a “medical device report” to the agency within 30 days if the products may have contributed to serious injury or death. Gasparovich’s inspection report states that Johns Dental had “not adequately investigated customer complaints,” and its complaint policies were “not adequately established,” allowing employees to not investigate if the product was not first returned to the company.
Boja Kragulj; Claire Miclat
Johns Dental received four complaints about the AGGA after the KFF Health News-CBS News report, including one that came after the FDA announced “safety concerns” about the device, according to the inspection report.
“Zero (0) out of the four (4) complaints were investigated,” Gasparovich wrote in the report. “Each complaint was closed on the same day it was received.”
In the months after Gasparovich’s inspection, Johns Dental sent letters to the FDA saying it revised its complaint policies to require more investigations and hired a consultant and an auditor to address other FDA concerns, according to the documents obtained through FOIA.
Former FDA analyst M. Jason Brooke, now an attorney who advises medical device companies, said the FDA uses an internal risk-based algorithm to determine when to inspect manufacturers and he advises his clients to expect inspections every three to five years.
Brooke said the AGGA is an example of how the FDA’s oversight can be hamstrung by its reliance on device manufacturers to be transparent. If device companies don’t report to the agency, it can be left unaware of patient complaints, malfunctions, or even entire products, he said.
When a company “doesn’t follow the law,” Brooke said, “the FDA is in the dark.”
“If there aren’t complaints coming from patients, doctors, competitors, or the company itself, then in a lot of ways, there’s just a dearth of information for the FDA to consume to trigger an inspection,” Brooke said.
CBS News producer Nicole Keller contributed to this article.
KFF Health News is a national newsroom that produces in-depth journalism about health issues and is one of the core operating programs at KFF — the independent source for health policy research, polling and journalism.





More Stories
Do you need a dentist visit every 6 months? That filling? The data is weak
Prolonged hold out-situations and not sufficient dentists: Rollout of new dental program far from painless
Do YOU have undesirable breath? Dentist reveals how to explain to if you have halitosis (when other people can be far too polite to explain to you)